11月7日,中國醫科大學附屬第一醫院神經外科順利開展首例國產神經外科手術機器人輔助腦血腫抽吸手術。手術由該院神經外科主任吳安華教授把關,韓帥醫師主刀完成。患者3個月前腦出血行保守治療,未手術。術前,患者言語障礙,只能說只言片語,語速緩慢;術后,患者語速增快,表達流暢。
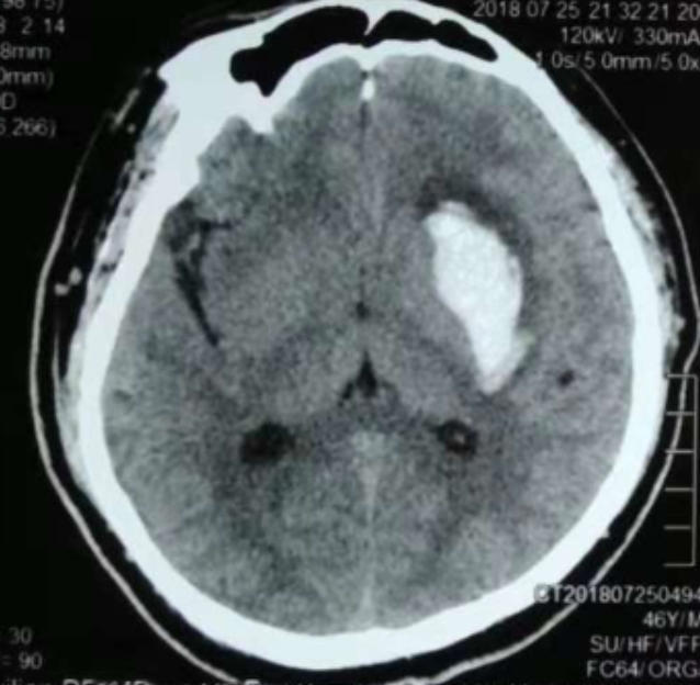
3個月前CT:腦出血
術前CT:血腫已經液化,但仍有占位效應
增強核磁提示:血腫液化周邊增強
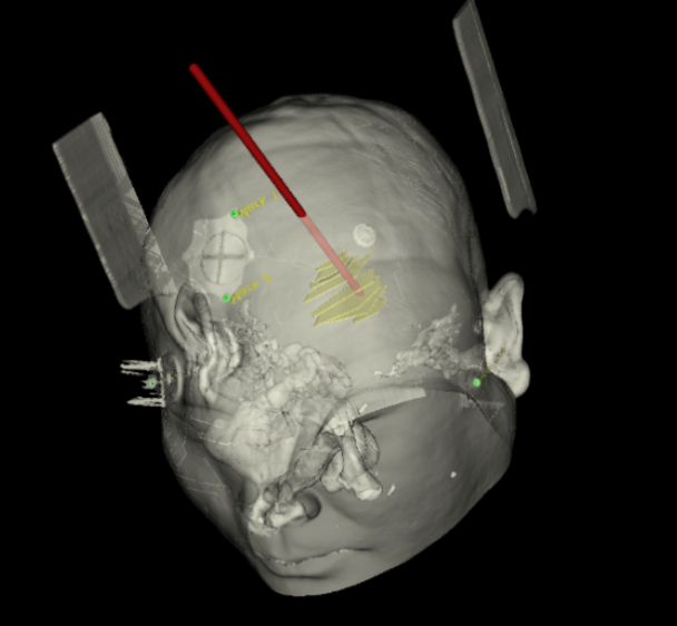
手術日當天,醫生團隊通過手術計劃系統為患者制定手術靶點及最安全的入顱路徑,隨后將手術規劃導入手術室的機器人當中。
術前團隊討論手術規劃
實際手術時,機器人在幾分鐘內就完成了空間注冊,機械臂在定位儀的引導下自動定位,準確鎖定靶點。
術前韓帥醫生使用“睿米”制定手術規劃
手術規劃在機器人軟件上制定完成
韓帥醫生借助機器人操作平臺順利抽出血性液體15ml,與術前軟件計算的血腫量完全一致,手術在30分鐘內順利完成。
術中韓帥醫生借助“睿米”完成血腫抽吸
手術抽出血腫15ml
術后CT:血腫腔消失
本次手術使用的機器人是國內首款獲CFDA認證的神經外科手術機器人,是中國醫大一院參與的國家重點研發計劃“智能機器人”重點專項,吳安華教授和韓帥醫生當選該項目用戶委員會常委。該機器人定位精度范圍在0.5mm-1mm,相較傳統框架定位,機器人具備操作便捷、創口小、定位準、無盲區等優勢,已廣泛應用于顱內活檢、腦出血、射頻消融、癲癇SEEG植入、帕金森DBS植入等手術。
吳主任表示,據以往經驗腦出血量在30ml以上才考慮手術治療,但有了微創、精準、高效的機器人輔助,未來15-30ml的腦血腫也應及時手術抽吸血腫,減少血液對腦組織的壓迫和刺激,這樣患者預后更好。該例手術的成功,進一步提升了中國醫大一院神經外科微創化、數字化、精準化的治療水平,未來在吳安華教授的帶領下,科室將開展更多神經外科機器人輔助下手術,以降低手術風險,服務更多患者。
