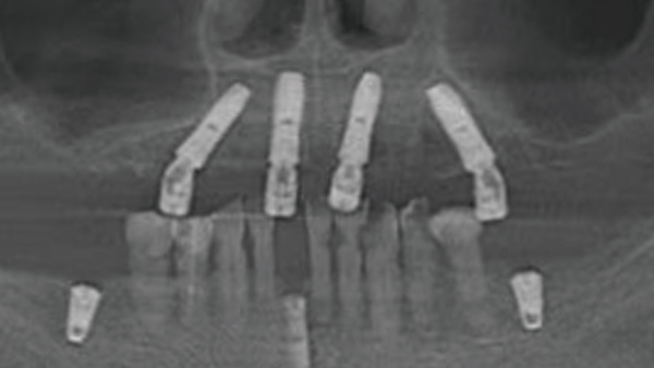
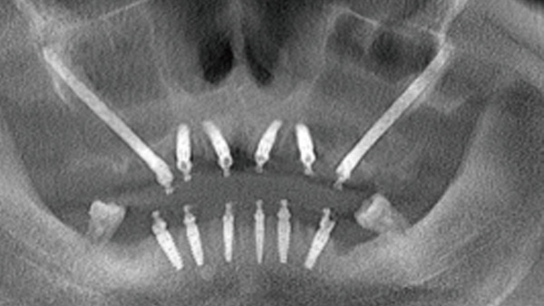
精度高
距離偏差≤0.5mm,角度偏差≤1°
用途
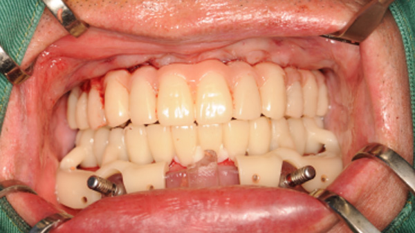
覆蓋所有牙位、即刻種植、即拔即種、全口無牙頜種植




















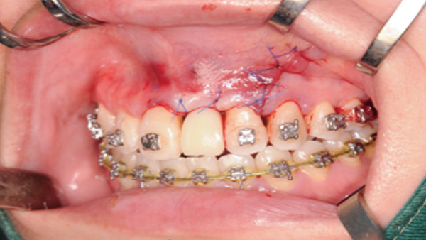
北京瑞醫博口腔門診是國內首家口腔手術機器人應用示范中心,為患者提供專業的種植手術、正畸矯治、美學修復、兒童口腔、牙體牙髓、牙周維護、智齒拔除等多學科口腔診療服務。院內專家團隊由北大口腔、解放軍總醫院、中日友好醫院、北醫三院口腔科資深醫生組成,并特別配備了“瑞醫博”口腔手術機器人等先進診療設備,為優質醫療服務提供強力支撐。












